Dental Implants

Dental implants provide a lasting solution for missing or damaged teeth, restoring both function and aesthetics to your smile.

Understanding the importance of a confident smile, we offer top-quality dental implants as a durable and natural-looking option.

These implants are designed to seamlessly replace lost teeth, improving your oral health and aligning with your smile goals. Choose dental implants for a transformative and long-term impact on your dental appearance and well-being.

Dental implants

featured in

why choose dental implants?

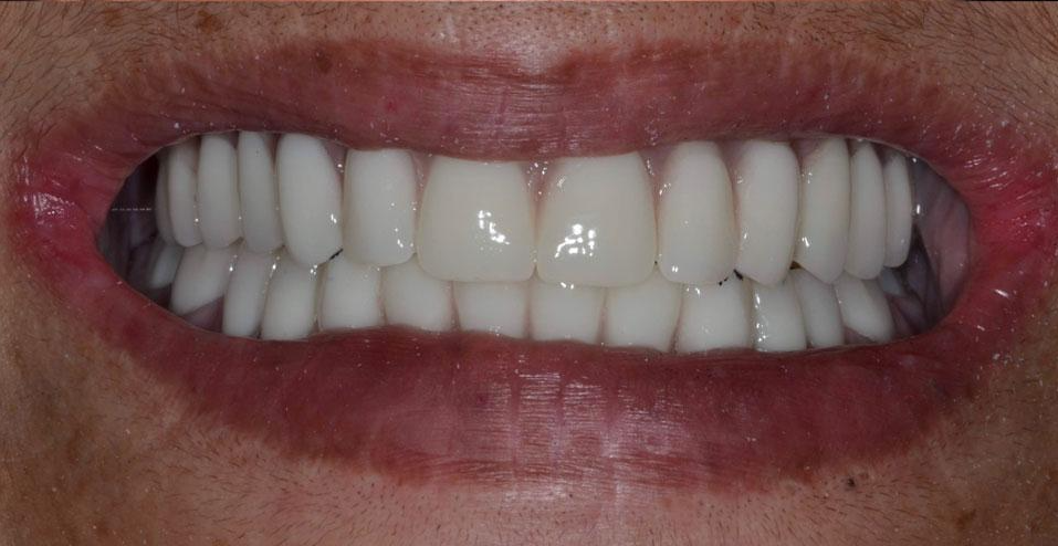
perfecting smiles with dental implants

Dental implants represent a groundbreaking advancement in dental technology, offering a durable and aesthetically pleasing solution for replacing missing teeth. They are specifically designed to blend seamlessly with your natural teeth, enhancing both the function and appearance of your smile.

Smile Now, Pay Later

Enjoy flexible financing options for your dental implants. Benefit from 12 months interest-free financing or extend your plan for up to 5 years at a competitive rate of 9.9% APR.

pain free process

If you experience anxiety or fear related to dental procedures, sedation can help you relax, making the experience more comfortable and pain free.

Discussing your concerns and preferences with your dentist will help determine whether dental sedation is a suitable option for you.

WHy would you Need dental implants?

missing teeth

Seeking Long-Term Solutions

Desiring Natural-Looking Teeth

Unhappy with Removable Dentures

Learn more
the first step involves meeting with our experienced dental professionals. During this appointment, we will discuss your specific smile goals, evaluate your dental concerns, and determine if composite bonding is the ideal solution for your needs.
Learn more
Following the consultation, we will create a personalized treatment plan tailored to address your unique dental imperfections. This plan will outline the areas targeted for composite bonding, the expected duration of the treatment, and any other considerations to ensure a comprehensive and customized approach to achieving your desired smile.
Learn more
Once the treatment plan is in place, the composite bonding procedure will be scheduled. This involves skillfully applying the tooth-colored composite resin to the designated areas, sculpting and shaping it to achieve the desired aesthetic results. The procedure is typically minimally invasive, providing immediate improvements in the appearance of your smile.
Learn more
After the composite bonding procedure, We will schedule follow-up appointments to ensure the success of the treatment. This allows for any necessary adjustments and ensures your satisfaction with the results. Additionally, our team will provide guidance on post-treatment care, including oral hygiene practices and recommendations for maintaining the longevity and vibrancy of your newly enhanced smile.

wHY CHOOSE Composite bonding?

Your Very best Smile

Only the highest quality and most vibrant composite materials are employed to deliver exceptional and enduring outcomes.

Smile Now, Pay Later

Enjoy flexible financing options for your composite bonding. Benefit from 12 months interest-free financing or extend your plan for up to 5 years at a competitive rate of 11.2% APR.

No drilling, injections or pain

the BEST and BRIGHTEST type ofcomposite is used to achieve amazing and long lasting results.

learn at your own pace

Learn on your terms, but never alone. Enjoy lifetime access to your course with the 12 month access to the Flux Community

1

build your network

Join a growing community, get peer insights, and discover exciting business opportunities and collaborations.

2

get expert support

Our team of coaches and experts is always a message away for answers and feedback.

3

Implant BENEFITS

Permanent Solution
Implants provide a long-lasting and stable replacement for missing teeth, unlike removable dentures.
Natural Look and Feel
Designed to mimic natural teeth in appearance and function, enhancing both smile aesthetics and comfort.
Improved Oral Health
Unlike bridges, implants don't require altering adjacent teeth, preserving more of your natural tooth structure.
Prevents Bone Loss
Implants stimulate the jawbone, preventing bone loss that often occurs with missing teeth.
Long-Term Cost Effectiveness
While the initial investment may be higher, implants often require fewer replacements and less maintenance over time.

Bonding
vs
veneers

BENEFITS
Price: Bonding is cheaper than the veneers due to onsite application of the resin.
Application: Minimal enamel removal is needed compared to the definite enamel removal with Veneers
Reveribility: Composite bonding can be removed whenever, whereas veneers are permenant as they use dental cement to fix in place
Repairability: in the extremely rare case of a chip or crack, Bonding is much easier to repair, as more resin can be applied to the tooth


One dental process

1 Consultation
Open communication and collaboration are central to the patient-centric approach at One Dental. An initial consultation allows you to discuss your smile goals and any concerns or queries you might have. This session covers the available options and the step-by-step process required to achieve your ideal smile, ensuring you are well-informed before the start of your dental implant treatment.
2 Smile Assessment
At One Dental, your Smile Assessment includes advanced 3D CT scans of your teeth and jaw to evaluate bone quantity and location. A digital mock-up of your new smile will be created and shared with you on-screen, allowing you to visualize the anticipated outcome of your dental treatment.
3Personalised Plan
If you're deemed a suitable candidate for the implant procedure, the team at One Dental will guide you through the on boarding process and explain your personalised treatment plan. All your questions will be answered, and a date will be set for your treatment, ensuring a smooth and informed journey towards your new smile.

"Fantastic dental practice in Peterborough. Was with a well known chain prior to joining one dental in Peterborough and the service has been fantastic. Clear and communicative in work that needs doing. Friendly little practice, would definitely recommend others to join"

Ian Morris

4 Transformative Treatment
On the day of your surgery at One Dental, sedation can be provided if you request it to ensure minimal discomfort. The dentist will place natural-looking teeth onto the strategically positioned implants. Once secured, you'll leave the dental chair with a beautiful new smile, ready to enjoy immediately.
5 Exceptional patient aftercare
Our highly skilled team is devoted to ensuring your comfort and facilitating a smooth recovery journey. We pride ourselves on surpassing standard expectations, tailoring our aftercare protocols to meet the unique needs of each patient. Whether you have questions, concerns, or require guidance on post-implant care, our experienced professionals are here for you. Your satisfaction and continued well-being are paramount, and we are honored to accompany you on the path to a healthy and enduring smile.
1 Year Guarantee
All of our dental implant treatments come with our 1 year guarantee which includes: the cover of any issues/implant failures to ensure that this long term solution is set correctly

Implant Transformations

Composite bonding is for:

Chipped tooth

Cracks

Stains

General Wear

improve aesthetic appearance

Frequently Asked Questions

How many appointments are needed?

For dental implant treatment, the number of appointments needed can vary based on individual cases.

Typically, it includes:
Initial Consultation: To assess your dental health and plan the treatment.
Implant Placement Surgery: The day the implant is placed in your jawbone.
Follow-up Visits: To monitor healing and progress.
Placement of the Abutment and Crown: Once healing is complete, to fit the final crown.
Additional Check-ups: As necessary, to ensure long-term success.

The exact number of appointments may differ depending on the complexity of your case and healing time.

Are dental implants safe?

Yes, dental implants are considered a safe and effective solution for replacing missing teeth. They have a high success rate and are made from biocompatible materials, minimising the risk of rejection or reaction. As with any surgical procedure, there are risks involved, but these are typically low when performed by a qualified dental professional.

Do you offer sedation for dental implant treatment?

Understanding the anxiety and discomfort associated with dental procedures, especially complex ones like dental implants, our practice proudly offers sedation options to ensure a comfortable and stress-free experience. As a dental phobia certified practice, we specialise in catering to patients who experience dental anxiety, ensuring that your visit is as comfortable and calming as possible.Our team is extensively trained in various sedation techniques to suit your individual needs. From mild sedatives to help you relax to more profound sedation options for a completely anxiety-free procedure, we tailor our approach to each patient's comfort level. For dental implants, sedation can range from nitrous oxide (laughing gas) for its calming effect, to oral sedatives that help you relax more deeply, up to intravenous (IV) sedation for a more controlled and deeper sedation experience.

Who is a good candidate for dental implants?

A good candidate for dental implants typically includes someone with:
Adequate bone density to support the implant.
Healthy gums free of periodontal disease.
Good overall health to undergo a surgical procedure.
Non-smokers or those willing to quit, as smoking can hinder healing.
Commitment to good oral hygiene and regular dental visits.

Can smokers get dental implants?

The success of dental implants may be impacted by smoking, as it can slow down the healing process and elevate the risk of complications. While smokers can undergo dental implant procedures, it's important to note that they may face a higher likelihood of implant failure.

Are dental implants covered by my insurance?

The extent of insurance coverage for dental implants varies significantly among providers. Some dental insurance companies may partially cover the cost, while others may offer no coverage at all. It is recommended to consult with your insurance provider to gain clarity on the specific coverage details for dental implants within your plan.

How do i need to care for my dental implants?

Maintaining optimal oral hygiene is paramount for the success of dental implants. Essential practices include regular brushing, flossing, and routine dental check-ups. Your dentist may also provide personalised oral care instructions to ensure the longevity and effectiveness of your dental implants.

One dental transformations...

Number of teeth

Cost

Monthly

SINGLE IMPLANT & CROWN

£2500

From £45.79

ALL ON 4 From

£12000

From £219.80

ALL ON 6 From

£15000

From £274.75

Sedation

£500

From £9.15

Loan calculator

Use this calculator to get a quick, illustrative example of how much repayments could be for your treatment.

Please enter a value higher than £500 and lower than £30,000

£{{ loanAmount }}

{{ years.toFixed(0) }} year(s)

{{ loanPeriod }} Months

£{{ total.toFixed(0) }}
£{{ totalLoan.toFixed(0) }}
£{{ totalInterest.toFixed(0) }}

Start your transformation now

Our team of experts are ready to help you on your journey to a new smile.

Book consultation

see why we are 5 star google rated

Contact us today to book your consultation with One of our experts

Opening Times

Monday: 9:00am – 5:30pm
Tuesday: 9:00am – 5:30pm
Wednesday: 9:00am – 5:30pm
Thursday: 9:00am – 5:30pm
Friday: 9:00am – 5:30pm
Saturday : By appointment only

Visit

1 School Rd, Newborough, Peterborough PE6 7RG, United

Contact

01733 810235
hello@one-dental.co.uk

Thank you! Your submission has been received!
Oops! Something went wrong while submitting the form.
Please refresh and try again.

Contact us today to book your consultation with one of our experts

Opening Times

Monday: 9:00am – 5:30pm
Tuesday: 9:00am – 5:30pm
Wednesday: 9:00am – 5:30pm
Thursday: 9:00am – 5:30pm
Friday: 9:00am – 5:30pm
Saturday : By appointment only

Contact

01733 810235
hello@one-dental.co.uk